Hyppää pääsisältöön

Tarkenna hakuasi

Väitöskirja.

Väitös, FM Sonja Koivukoski, biolääketiede, Kuopio

  • Väitös
  • Terveys ja hyvinvointi
Tapahtumapäivämäärä:
Aika:
12:00–18:00
Tapahtumapaikka:
Snellmania, SN201, Kuopion kampus
Lisää kalenteriin:

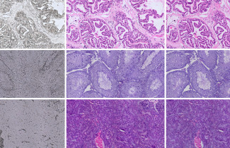
Filosofian maisteri Sonja Koivukosken väitöskirja Applicability of virtual staining in histological whole slide images (Virtuaalivärjäyksen soveltuvuus histologisiin kokoleikekuviin) tarkastetaan terveystieteiden tiedekunnassa. Vastaväittäjänä toimii professori Johanna Arola Helsingin yliopistosta ja kustoksena tutkimusjohtaja Leena Latonen Itä-Suomen yliopistosta.

Väitöstiedote julkaistaan osoitteessa https://www.uef.fi/fi/vaitokset väitöstä edeltävällä viikolla.